Spartan Race – Physiotherapy 2nd Assessment

carl footWell the good news is that both Helen and Carl are both progressing nicely along their training plan. The did what can only be called ‘madness’ on Sunday, involving 1 hour 16 mins of a few hundred burpees, viper jumps, pulling/pushing over 7 km – but this is necessary in preparation for what they are expected to do on the Spartan event http://spartanrace.com.au/ for those of you wanting to see what it is all about. I am sure Carl will update you on what they did exactly but for now I am happy to call it ‘madness’.

Helen’s Assessment
From the first session we identified that Helen had some dysfunction a round her Right Shoulder and Right side of her neck, as well as her Right SIJ, so today we wanted to try to address some of these issues. I decided to begin with her neck today and found that she still had some restriction, especially in Right rotation and Right Side flexion, with some ‘closing down’ signs on this Right side, but with no neural or referred pain. I also noticed as I was treating her neck, (with her lying on her back) that her Right foot was pointing towards the celling whereas the Left foot was nicely relaxed out and turned towards the wall. In addition the Right side of her pelvis seemed higher and closer to the ceiling. After treating her neck, including manipulation to the Right C2-C3 segment (after clearing for any potential negative consequences!), the Right foot was beginning to turn out by approx. 30% compared to the Left. I also released her Right pectoralis minor and pectoralis major. Her thoracic spine had improved from the last session but she was still stiff around the T2-T3 segment, so I also manipulated this for her today.
Following this I assessed her SIJ again and today, contrary to the session on the 4 Feb, I found her to have a relatively fixed and stiff Right ilium on gliding. Maybe as a result of the ‘madness’ described earlier. It seemed to me after more examination that her sacrum seemed to be locked up, and this was leading to a large trigger point in her Right gluts as well as into her Right Quadratus Lumborum. I treated this with gentle techniques designed to ‘unwind’ the sacrum and encourage its repositioning, this uses myofascial and neural inhibition techniques to relax the tension. Following a few minutes of this the tension had released from her gluts and Quadratus Lumborum, and when turned onto her back again the Right foot was 75% of the left.
I need to point out that these examination and treatment techniques have so far proven to be difficult to prove in clinical trials and are therefore controversial in their application. Although I have been doing them for years, and for whatever reason I find them to give good immediate results such as today. However this is only half the battle, the patient is given a window in which to practice and needs to do a lot of core stability and postural work to encourage this to ‘stick’.
Helen is in great hands here with Carl who totally understands the philosophy behind this and the need for targeted and controlled exercises.

The knee seems to be going well as she reported no problems with this today. She should carry on with the eccentric exercise program for at least 6-8 weeks.
She also needs to continue with the gentle stabilisation work and massage to help her recovery
I will see her next week and let you know how we get on.

Carl’s Assessment
So to Carl, you may recall that although Carl’s assessment was more simple that Helen’s, he had some discomfort across the front of his left ankle and foot, especially when doing longer runs. This has been niggly for a few years.

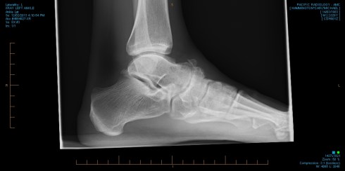
Well the x-ray has shown what we suspected clinically, he has moderate to severe degeneration, but surprisingly also an ununited fracture through his Left Navicular bone. He is still adamant that he has had no major injuries to this ankle, but does recall a twist and pop whilst playing rugby a few years back but did not recall missing any games. He was very active when younger, being an age grade body building champion as well as training and playing rugby, so it may be that this is a stress fracture related injury to the Navicular. As a body builder he was on a high protein diet, though rarely used protein drinks.  Perhaps if the diet wasn’t balanced at the time this may have contributed to some mineral loss.  He has never taken any anabolic steroids.
As this foot /ankle been bothersome for a few years, but not too bad now and allowed him to do the ‘madness on Sunday he is still keen to progress and continue his training towards the Spartan. We have referred him to an orthopaedic surgeon for an opinion however, but at this stage it is still green light. It does prove what we see clinically, that although x-rays can be a useful tool, they do not always correlate with the patient’s symptoms.
To help in his recovery I have started a course of acupuncture and Helen is also to advise on what dietary changes he could make to help. I have also suggested that he should not run in his minimalist Vibram 5 fingers but may be better in a ‘normal’ shoe so that he has a higher heel lift to help unload the front of his foot. He should also try some shock absorbing material to help attenuate any force through this area.
I will continue to help with acupuncture, Helen will tinker with his diet and Carl will continue with his training. We will see how we go.

Posted by Willis Street Physiotherapy

2 thoughts on “Spartan Race – Physiotherapy 2nd Assessment

Leave a comment